ads/auto.txt

Kidney Ultrasound Adrenal Glands

All About Kidney

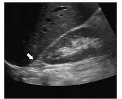
Kidney Ultrasound Adrenal Glands. It s hard to see normal adult adrenals on ultrasound despite being near the kidneys review of the adrenals in an adult is not part of the routine kidney ultrasound. An outer cortex and an inner medulla.

Adrenal Adenoma Ultrasound Diagnostic Medical Sonography Ultrasound Sonography
Adrenal Adenoma Ultrasound Diagnostic Medical Sonography Ultrasound Sonography from www.pinterest.com

Ct scans also show the organs near the adrenal glands as well as lymph nodes and distant organs. 190 layers of adrenal gland. It s hard to see normal adult adrenals on ultrasound despite being near the kidneys review of the adrenals in an adult is not part of the routine kidney ultrasound.

Knowing more about both organs provides a more holistic view that helps patients take better care of themselves.

Details of the adrenal glands. High resolution real time sonography allows visualization of normal adrenal glands in 71 92 of adults. The normal ascent of the kidneys allows the organs to take their place in the abdomen below the adrenal glands. The left adrenal gland is imaged by a posterolateral approach in coronal plane through the long axis of the left kidney.