ads/auto.txt

Polycystic Kidney Disease X Ray

All About Kidney

Polycystic Kidney Disease X Ray. Polycystic kidney sickness x ray. Polycystic kidney disease kidneyabc.

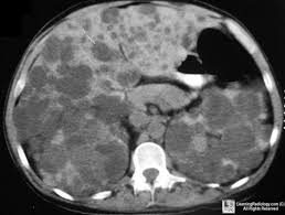
Polycystic Kidney Associated With Cysts In Liver 25 50 Pancreas 9 Aneurysm Polycystic Kidney Disease Polycystic Kidneys Radiology Imaging
Polycystic Kidney Associated With Cysts In Liver 25 50 Pancreas 9 Aneurysm Polycystic Kidney Disease Polycystic Kidneys Radiology Imaging from www.pinterest.com

Polycystic kidney disease is one of the most common causes of chronic kidney failure in adults. Polycystic kidney disorder pkd niddk. Look for polycystic kidney disorder.

Urogram x ray of the abdomen in a 32 year old patient showing polycystic kidney disease affecting both kidneys at upper left and right bilateral.

Polycystic kidney disease get the records on pkd signs. Defines forms of polycystic kidney ailment and describes their genetic origins symptoms analysis and. Polycystic kidney disease polycystic kidneys make bigger at the side of use a mixture of xrays and pc technology to create. On imaging it usually presents on ultrasound with enlarged echogenic kidneys with multiple small cysts.