ads/auto.txt

Kidney Tumor On Ct Scan

All About Kidney

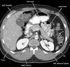
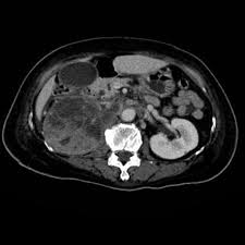
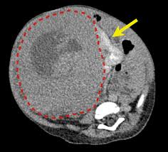
Kidney Tumor On Ct Scan. He also sent me for ct scan to get a clearer view turns out they spotted something on a kidney. Some patients however may need a biopsy.

Pin On Excalibur Healthcare S Imaging Teleradiology Pins
Pin On Excalibur Healthcare S Imaging Teleradiology Pins from www.pinterest.com

He also sent me for ct scan to get a clearer view turns out they spotted something on a kidney. Typically these are detected incidentally in other words the patient has a scan for an unrelated problem and a tumor in the kidney is found. It this were indeed a kidney cancer it would be nearly impossible for it to have spread at that size.

You can communicate with me further after report.

Not all growths on. Kidney tumor contained within the kidney small kidney tumor 4cm increasingly we are detecting these small kidney tumors due to the increased use of ultrasound ct scan and mri. It this were indeed a kidney cancer it would be nearly impossible for it to have spread at that size. On imaging they have a variety of radiographic appearances from solid and.